皮秒雷射
蜂巢皮秒雷射除斑除痘疤
皮秒雷射除斑大解密!想淨斑別做錯!
【立即預約皮秒雷射】!
皮膚管理專家黃天儀醫師揭密「皮秒雷射效果」
桃園醫美、林口醫美皮秒雷射【立即預約皮秒雷射】
皮膚管理專家黃天儀醫師教你挑選"對"的雷射
桃園醫美、林口醫美皮秒雷射【立即預約皮秒雷射】
皮膚管理專家郭千華醫師揭密皮秒雷射 不踩雷
中壢皮秒雷射【立即預約皮秒雷射】
雙皮秒雷射 雙波長 除斑就是比較強
755波長Picosure皮秒雷射搭配1064波長Discovery Pico探索皮秒雷射,皮秒雷射效果一次治療改善臉上多種問題,淨白~看得見。
🔎 想追求「細緻毛孔、透亮感」?選 PicoSure 755 蜂巢皮秒
PicoSure 採用特殊的 755nm 波長,這是一個專為「黑色素」設計的波長,其吸收率高於1064nm波長。
關鍵優點: 能量不會被血紅素搶走,因此不容易產生皮下出血(瘀青),術後退紅極快,非常適合上班族作為「定期皮膚管理」。
適合對象: 有肝斑困擾、膚色暗沉、希望收斂毛孔、或害怕長恢復期的人。
🔎 想解決「凹洞痘疤、深層斑點」?選 Discovery Pico 探索皮秒
Discovery Pico 被譽為皮秒界的「超跑」,其具備的高峰值功率(1.8GW)能產生極強的光震波效果。
關鍵優點: 能深入真皮層擊碎纖維化組織,對付陳年痘疤與深層黑色素有優異表現。
適合對象: 凹痘疤嚴重者、想要去除刺青、或曾打過多次雷射斑點仍無明顯進步的人。
PicoSure 蜂巢皮秒和 Discovery Pico 探索皮秒,哪個效果比較好?
效果視您的治療需求而定:PicoSure 擅長美白除斑,Discovery Pico 則強於改善凹痘疤。更可以同時搭配改善肌膚多種問題!
PicoSure: 適合處理深淺層斑點、提升肌膚細緻度,且幾乎無恢復期。
Discovery Pico: 適合處理深層頑固斑點與結構性痘疤,能量強但恢復期略長。
彤顏診所吳柏毅醫師建議複合式治療,根據臉部不同部位的問題,交替使用不同機型以達到改善效果。
歡迎至診所由醫師評估。【立即預約皮秒雷射】
如果肌膚可以透亮淨白~你還會放任斑點暗沉在臉上撒野嗎?!
週刊直擊范冰冰來台醫美~范爺霸氣回應施做雷射除斑!
皮秒雷射的魅力讓天后也難以抵擋!
嘿朋友們~國際巨星對於保養都如此不遺餘力!
您還猶疑什麼
亮白、斑點、皺紋、刺青問題交給彤顏診所皮膚管理專家
Picosure皮秒雷射(以下俗稱蜂巢皮秒雷射)沉穩專精袪黑的性格基調,暗黑中流轉,劃出一條靚白 之路。彷彿天生既有的素顏美肌~秒懂是什麼讓天后如此瘋狂!
蜂巢皮秒雷射真的厲害~瞧這剛做完皮秒雷射的肌膚光澤度、跟透白感,愛死這膚況了!皮秒雷射有感亮白~
以上照片經當事人同意,並簽定肖像權同意書,療程效果會因個人體質而有所差異
本宣傳名稱與仿單不同(部分為仿單核准適應症外的使用介紹,或口語化供理解),僅供參考;正式療程/儀器名稱、效果等,均以醫師親自說明為準。
想要肌膚白皙透亮、閃耀動人,不僅僅只是煥白膚色而已,肌膚細緻度、膚色均勻度、毛孔都是影響肌膚亮白感。但當臉上出現惱人雀斑、曬斑、肝斑等黑色素斑點問題,必然衝擊整體靚白度。
其中肝斑(Melasma)更是難纏,通常好發在25-45歲的女性,是東方人常見的黑色素斑點問題,主要發生在臉部容易曝曬的位置,形成的原因包含日曬、荷爾蒙、壓力等因素,當皮膚開始出現黯沉、膚色不均或是有輕微發炎症狀,也會加速肝斑的增生…

以上照片經當事人同意,並簽定肖像權同意書,療程效果會因個人體質而有所差異

以上照片經當事人同意,並簽定肖像權同意書,療程效果會因個人體質而有所差異

以上照片經當事人同意,並簽定肖像權同意書,療程效果會因個人體質而有所差異
本宣傳名稱與仿單不同(部分為仿單核准適應症外的使用介紹,或口語化供理解),僅供參考;正式療程/儀器名稱、效果等,均以醫師親自說明為準。
知道為什麼天后願意千里迢迢跨海來"皮秒"了吧!
面對這些擾白膚況,就由皮秒雷射出擊!黑色素狙擊手755波長亞歷山大,搭配皮秒疾速震波快速掃除黑色素,治療皮膚色素斑點與改善肌膚問題。
皮秒雷射恢復期短,除斑好輕鬆,煥白好簡單!!不僅加速整體治療時間,『掃黑』更容易。 敏感性膚質也不用擔心,醫師會按照肌膚情況調整適合的皮秒雷射劑量。
皮秒雷射原理及效果
皮秒雷射除斑、痘疤、除刺青交給皮膚管理專家
「755蜂巢皮秒雷射」 啟動美麗肌膚
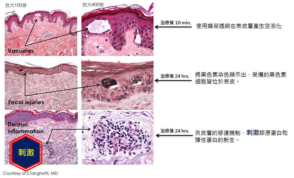
PicoSure皮秒雷射之所以可以有效、快速除斑、除刺青的3大特色: (1)550皮秒疾速機械光震波 (2)755專業除斑波長 (3)Focus Lens蜂巢瞬效透鏡
755皮秒雷射疾速機械光震波,讓皮秒雷射光「瞬間震碎」黑色素,作用在皮膚的時間越短,可快速改善與治療皮膚色素與肌膚問題,降低熱傷害,降低治療後副作用。皮秒雷射效果改善色素沉澱與斑點問題,蜂巢皮秒透鏡更進一步細緻膚質改善細紋效果。

550的picosecond(ps) 治療時所發射出的每一發雷射光能量只停留在皮膚上短暫的時間(550 x 10⁻¹² ),比一般雷射(Q-S 1064nm銣雅鉻, 5 x 10⁻⁹)更迅速7倍。

皮秒雷射應用7倍快速的皮秒時間可對黑色素產生”疾速機械光震波”,瞬間導致黑色素產生強大震波,震碎黑色素成為粉塵狀態,可快速代謝、大幅降低熱傷害。

色素顆粒越細小 越容易清除代謝 越不容易殘留
PicoSure 皮秒雷射機械光震碎分解黑色素顆粒的粉塵效果,迅速清除與代謝,不易殘留。
755nm亞歷山大對於黑色吸收效果佳的波長,除斑效果優異。改善黑色素的效果明顯。
- 皮秒雷射適用於去除紋身及良性色素病變,搭配3mm及6mm探頭以及聚焦陣列也可適用在治療痤瘡疤痕和皺紋在I-IV的皮膚型態中
- 淨白、均勻膚色
- 表皮色素斑:雀斑、曬斑、老人斑
- 真皮色素斑:顴骨母斑、太田母斑
- 肝斑
- 刺青
- 凹疤、皺紋
PicoSure皮秒雷射為台灣衛生福利部核准之醫療器材(衛部醫器輸字第025317號),通過台灣衛福部及美國FDA核准通過4大適應症:黑色素、刺青、痘疤、皺紋。
資料來源 : WESTFORD, Mass., July 24, 2014 /PRNewswire/ -- Cynosure, Inc.a leader in laser- and light-based aesthetic treatments for non-invasive and minimally invasive applications, today announced that it has received FDA 510(k) clearance to market its flagship PicoSure™ Picosecond Laser Workstation for the treatment of acne scars with the FOCUS lens array, the Company's new disposable energy delivery system. In the fourth quarter of 2012, PicoSure became the world's first picosecond device to receive FDA clearance for the removal of tattoos and benign pigmented lesions.
衛部醫器輸字第028802號 /皮秒雷射仿單含適應症禁忌症說明
本宣傳名稱與仿單不同(部分為仿單核准適應症外的使用介紹,或口語化供理解),僅供參考;正式療程/儀器名稱、效果等,均以醫師親自說明為準。
- 深、淺膚色適用
- 深斑、淺斑同時改善
- 恢復期短
- 溫和較不刺激
- 療程次數減少
皮秒雷射療程時間約1~1.5小時
卸妝清潔→麻藥→皮秒雷射治療→鎮定舒緩→術後保養品防護
平均間隔約4-6周可施做下一次皮秒雷射治療,或視肌膚修復情況。
※醫師視每人膚質狀況、治療反應,調整皮秒雷射療程建議。
- 懷孕
- 具有局部或全身性感染,或正在接受治療之開放性傷口者
- 服用光敏感藥物治療者,或最近六個月內,使用或曾經使用口服 A 酸者,例如異維甲酸
- 具有光源性癲癇症患者
- 患有狼瘡者
- 治療部位患有單純性皰疹
- 皮秒雷射治療前一個月避免過度日曬、使用A酸、光敏感藥物,以及去角質或果酸煥膚等保養。
- 皮秒雷射治療處泛紅、微腫為正常情況,數小時內即可緩解。皮秒雷射術後保養依照醫師指示照護。
- 皮秒雷射術後2-4週內請勿過度曝曬陽光,需積極防曬,建議使用SPF 30係數以上,積極保濕。做完皮秒雷射一週內盡量避免泡溫泉﹑三溫暖、進入高熱的環境及游泳。
- 皮秒雷射術後2-4週內請勿使用果酸類保養品,去角質產品與其他光電雷射治療,避免皮膚過度傷害。

以上照片經當事人同意,並簽定肖像權同意書,療程效果會因個人體質而有所差異

以上照片經當事人同意,並簽定肖像權同意書,療程效果會因個人體質而有所差異

以上照片經當事人同意,並簽定肖像權同意書,療程效果會因個人體質而有所差異

以上照片經當事人同意,並簽定肖像權同意書,療程效果會因個人體質而有所差異
※宣傳名稱與仿單不盡 相同(Off-label use);任何療程介紹均以醫師「親自說明」為準,請特別留意
皮秒雷射FAQ
如PicoSure、PicoWay 等皮秒雷射利用10⁻¹²秒高能量光震波,針對雀斑、肝斑、刺青等色素問題,搭配蜂巢透鏡同時刺激膠原蛋白增生,淡化斑點、細緻毛孔、提亮膚色,是目前醫美雷射中熱門的嫩膚與美白選擇。
效果會隨療程累積而提升,深層色素需多次治療才能穩定改善。膚況、斑點種類、生活習慣都會影響次數,建議由醫師評估後規劃專屬療程。
每個人對痛感的耐受度不同,皮秒雷射過程大多數人可輕鬆接受,且術後恢復期短。
蜂巢皮秒透過聚焦能量放大光震波深度,刺激真皮層膠原蛋白生成,細緻膚質並提升修復力,適合複雜性肌膚問題改善。
皮秒雷射主打色素改善,蜂巢模式則在此基礎上加強毛孔、痘疤、細紋的改善效果,兩者搭配可同時處理斑點與膚質問題。
.深層斑點/凹痘疤: 建議間隔 6-8 週,讓膠原蛋白有充足增生時間,或由醫師評估肌膚修復情況建議。
.淺層保養/亮白、毛孔: 建議間隔 4 週,維持肌膚細緻度。專業醫師會依據您的修復狀況進行調整,通常經過約 4-6 次治療可達顯著改善。
一般模式(除斑): 淺層斑可能產生細小結痂,約 5-7 天自然脫落,請勿自行撕除。
蜂巢模式(毛孔): 術後會有 1-3 天的局部泛紅,通常隔天即可正常化妝上班。
術後照護: 建議加強保濕與物理性防曬,避免使用含酸類或美白成分的保養品。
.熱傷害極低: 大幅降低反黑風險。
.恢復期短: 傳統雷射需 1-2 週,皮秒僅需數天。
.效率高: 以極短脈衝擊碎色素,效果更精準。
術後可能有輕微結痂與乾燥感,3~5天自然修復。加強保濕與防曬可降低反黑風險並加快恢復。
醫師可依深淺斑點調整能量/探頭,讓深斑、淺斑都獲得改善。
術後可冰敷舒緩,針對深層色素或刺青的區域會有灰白色薄結痂,請勿摳除,並使用醫師建議的藥膏與防曬工具(帽子、陽傘、口罩)。
PicoSure皮秒雷射755nm 波長,對黑色素吸收力高且恢復快;淨膚雷射則屬奈秒技術,熱傷害與恢復期較長。
通過台灣衛福部與美國 FDA 核准,適用於黑色素、刺青、痘疤與細紋改善。
皮秒雷射效果取決於診所是否具備:
.具經驗的專科醫師(熟悉膚質判斷與能量配置)
.原廠皮秒儀器(歐美皮秒雷射如PicoSure、Discovery pico、PicoWay等)
.治療前後完善評估(是否會給客製化參數與術後照護)
.豐富且完整治療經驗及案例(各式膚況斑點治療經驗值)
推薦選擇彤顏診所,在桃園、中壢、八德、林口、新北永和地區交通便利,且擁有皮秒豐富經驗、除斑專業好評、採用原廠皮秒儀器的優質醫美診所。
每次治療由醫師依當下膚況評估調整能量與間隔。
(本宣傳僅供參考;正式療程/儀器名稱、效果等,均以醫師親自說明為準)
醫療新知 更新日期:20251226


